========
動画の読み込みに少し時間がかかります
モバイル端末ではタップすると画像が表示されます
========
救急外来。呼吸困難。考えられる疾患はなにか?
急性心筋梗塞 あるいは たこつぼ心筋症
たこつぼ心筋症では心尖部の相対的収縮不良がみられ、この画像のように蛸壺様の収縮形態を示す。定義上、冠動脈の閉塞はなく、急性心筋梗塞と形態学的に判別することは困難であるため、診断のためには冠動脈造影検査が必要となる。そのため、救急外来では循環器内科へのコンサルテーションが必須である。ICU領域では、重症疾患に伴ってストレス心筋症の一種としてたこつぼ心筋症が発症することが知られており、くも膜下出血や敗血症などの高カテコラミン血症を伴う疾患の治療中に心電図変化等で気づかれることがある。状況からストレス心筋症の可能性が高いと判断されるケースも多いが、その場合も厳密には冠動脈造影をしないと診断を確定することはできない。
救急外来。低酸素血症。みられる所見と考えられる疾患はなにか?
Lung point sign、気胸
気胸の所見で感度が高いのはLung slidingの消失である一方、特異度が高いのがLung point signである。上の画像では、画面右から左にカーテンを引くようにLung pointが移動しており、このカーテンの端が臓側胸膜と壁側胸膜が接触しているところと離れているところの境目である。この画像ではLung pointが見やすいようにプローブを肋間に沿って肋骨と平行に当てているが、肺のエコーではまずプローブを肋骨の走行に直行させて当て、肋骨を描出した上でその直下にある胸膜の位置を把握する。プローブを肋骨と平行に当てるのはその後である。(関連動画:#62, #73, #88)
観察している部分と所見はなにか?
胸部不快感。みられる所見はなにか?
行っている処置はなにか?
気管挿管(食道挿管)
バイタルサインのある患者での気管挿管の確認で最も信頼性が高いのはEtCO2の検知であるが、気道エコーにも同等の検出精度がある。通常、気管挿管の前後では描出像に変化がない(Single tract sign、下図左)が、食道挿管では挿管後に輪状構造物が食道内(多くは気管の左側、画面上は右側)に出現する。この所見はDouble tract sign(下図右)とよばれ、食道挿管を強く示唆する。バイタルサインのない患者では、気管挿管後もEtCO2が低値を示すことがあるが、気道エコーでは非CPA患者と同様な所見が得られる。(関連動画:#55, #69)
救急外来。左腹部痛。考えられる疾患はなにか?
視野異常。考えられる疾患はなにか?
網膜剥離
眼球エコーは網膜剥離の診断に非常に有用である。網膜は鋸状縁と視神経鞘で固定されており、剥離が起こるとこの間の部分が線状構造物として硝子体領域に浮遊し、眼球運動に連動する。鑑別すべき病態に硝子体剥離(後部硝子体剥離)/硝子体出血があるが、硝子体は視神経鞘の部分で固定されていないため、こちらは視神経鞘部で固定されない硝子体領域を漂う構造物として描出される。(関連動画:#76)
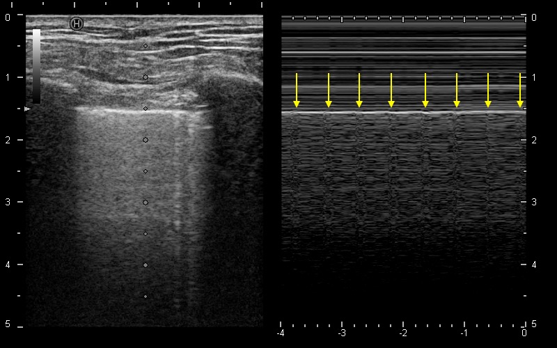
呼吸困難。みられる所見はなにか?
Lung pulse sign
肺エコーにおいて、Lung slidingの消失は気胸の除外に有用な感度の高い所見であるが、一方で特異度はやや低い。胸膜癒着や換気量低下、無呼吸状態ではLung slidingは目立たないこともあるが、心拍動が肺を伝って壁側胸膜を律動的に揺らす結果、Mモードで等間隔の縦縞模様を形成する。この所見がLung pulse signであり、心臓とプローブ下の壁側胸膜の間に空気の層が存在しない、すなわち気胸がないことを示す所見である。(関連動画:#95)
右上腹部痛。みられる所見はなにか?
胆嚢内に充満した胆石
胆石症では、高輝度の胆嚢内構造物と後方の音響陰影(Acoustic shadow)が特徴的であるが、胆石はときに胆嚢内に多発し、場合によっては胆嚢内を埋め尽くすほどに充満する。上の画像では胆嚢内に胆石が充満し、胆嚢後壁側の輪郭がAcoustic shadowによって不可視化されている。このようなケースではしばしば初学者が胆嚢の同定に難渋する。
右下腹部痛。考えられる疾患はなにか?
急性虫垂炎
急性虫垂炎の超音波による検出感度にはばらつきがあるが、径が6-7mm以上、圧迫して虚脱せず、疼痛部位と一致することが重要である。虫垂炎の評価には、根部から盲端まで全領域の観察が望ましい。この画像のように、根部の腫脹はみられないが、盲端付近のみが腫脹している虫垂炎も存在する。一部のみを観察して満足しないように注意が必要である。(関連動画:#75)

