========
動画の読み込みに少し時間がかかります
モバイル端末ではタップすると画像が表示されます
========
救急外来。左下肢腫脹。考えられる疾患はなにか?
下肢深部静脈血栓症
下肢深部静脈血栓症の評価部位は、鼡径部と膝窩部の2領域である。大腿静脈、膝窩静脈を分岐部を含め圧迫しながら評価することで高い精度で血栓症の有無を判定できる。画像では、動脈に隣接した鼡径部の大腿静脈内に高輝度な構造物が同定され、圧迫して虚脱しないことからDVTの存在が示唆される。圧迫の力は、動脈がやや変形する程度が適切である。
救急外来。腹痛。考えられる疾患はなにか?
腹部大動脈瘤
一般的に3cm以上で腹部大動脈瘤は定義されるが、径の測定には時に注意を要する。画像では、低エコー領域は中央の2-3cmの円形部分に限局しているが、その周囲を等エコーの壁在血栓が三日月状に囲んでいるため、実際の瘤径はそれよりもかなり大きいことが分かる。
救急外来。左上腕打撲。考えられる疾患はなにか?
肩関節脱臼
肩関節脱臼に対する超音波検査の感度特異度は非常に高く、診断、除外ともに有用である。上の画像は肩関節外側からプローブを当てた際に得られる像で、左下図のように、正常では肩峰と遠位に隣接する上腕骨頭を同時に描出することができる。脱臼がある場合、右下図のように肩峰に隣接した上腕骨頭は消失し、三角筋が下に凸になるように同部位に移動する。レントゲンは合併する骨折も評価できるため極めて有用だが、体格などのため脱臼の有無が判別しにくい場合もあり、超音波を補助的に用いることで診断精度の上昇が期待できる。
ICU。尿量低下。示唆される原因はなにか?
尿道カテーテル閉塞
ICUではさまざまな原因で尿量が低下する。頻度は少ないが、腎後性の原因から尿量が低下し、腎障害を来す場合がある。尿道カテーテルが挿入されているからといって必ずしも尿路が開通しているとは限らない。それまでの臨床経過に合わない急な尿量低下をみたときは、このように尿道カテーテルの閉塞を疑うことも大切である。
救急外来。胸痛。壁運動の低下部位はどこか?
救急外来。腹痛。考えられる疾患はなにか?
小腸閉塞
小腸閉塞の診断に超音波は高い感度、特異度をもつ。感度の高い所見は「腸管径の拡張」で、25mm以上は異常である。一方特異度の高い所見は「蠕動の低下/消失」であり、診断の確定に利用できる。腸炎などでは、閉塞起点がなくても腸管が拡張することがあり、蠕動の様子を併せて観察することが重要である。また、腸閉塞の診断は必ずしも原因検索の終了を意味しないため、閉塞の原因については別途考察が必要である。
背部痛。みられる所見はなにか?
傍腎盂嚢胞
水腎症は腎盂の拡張により腎門部にエコーフリースペースを生じる。腎嚢胞はその球状の形態から通常は水腎症との区別が容易だが、時に腎盂付近に生じる場合があり、傍腎盂嚢胞とよばれる。一見腎盂との連続性があるように見えるが、その形態は球状であり、腎盂の拡大は伴わない。
みられるアーチファクトはなにか?
ミラーアーチファクト
横隔膜付近の観察時に、横隔膜を堺目として左右に対称な像を生じることがある。これはミラーアーチファクトと呼ばれ、横隔膜で反射した超音波のビームが構造物に反射し、再度横隔膜で反射されてプローブに戻ることで、鏡面反射の原理で横隔膜の反対側にその構造物を描出する現象である。上の画像では、胸腔内に浮遊する無気肺の像が横隔膜の反対側にミラーアーチファクトとして描出されている。
心臓後方にみられる所見はなにか?
心嚢液、左胸水
傍胸骨長軸像で、心臓後方に生じるエコーフリースペースには、心嚢液と左の胸水がある。両者の区別にとって重要なのが、下行大動脈との位置関係である。心嚢水は、下行大動脈と左房との間に収束するように貯留し、左胸水は下行大動脈の後方にまで広がって貯留する。(関連動画:#81)
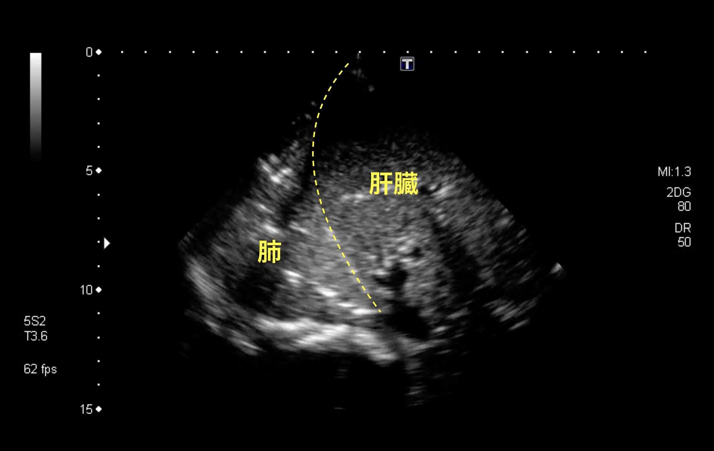
救急外来。発熱、呼吸困難。考えられる疾患はなにか。
肺炎、無気肺
健常者の肺は豊富な含気のためエコーにより肺の構造そのものを描出することはできないが、肺炎などで肺の含気が少なくなると、肺も他の実質臓器と同様にその構造物がエコーで描出可能となる。上の画像では、横隔膜を境に左右に類似した構造物が描出されているが、頭側(画面左)は肺、尾側は肝臓である。このように肺が肝臓と似た構造物として描出される状態は「Hepatization」とよばれる。無気肺単独でも類似の所見は生じるが、発熱などの感染徴候からは肺炎の存在が示唆される。

